Unser gesamtes Team steht Ihnen gerne für alle Fragen zur Verfügung.
Mehr Gesundheit, mehr Sicherheit, mehr Lebensqualität für unsere Patienten
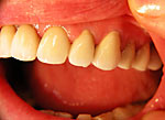
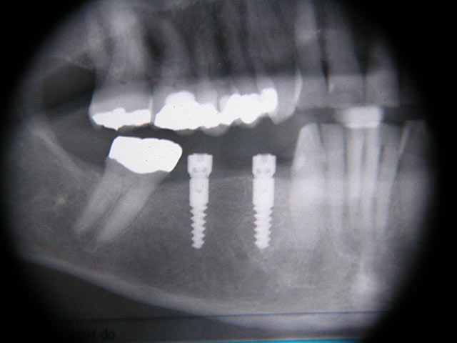
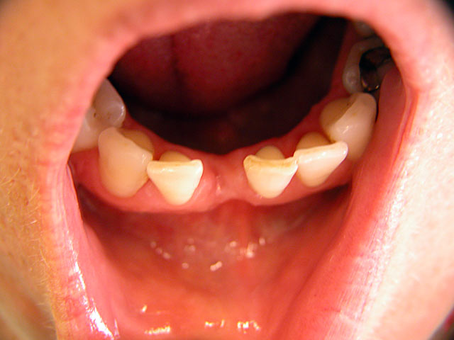
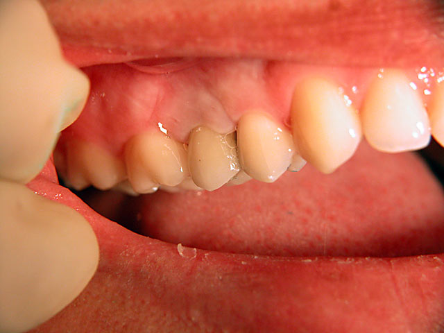
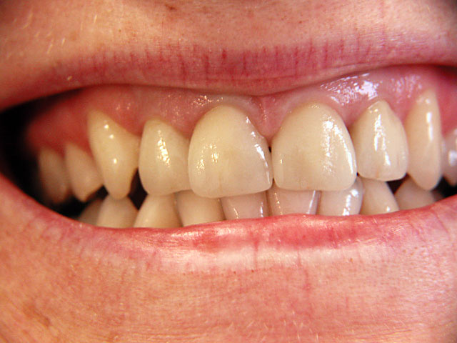
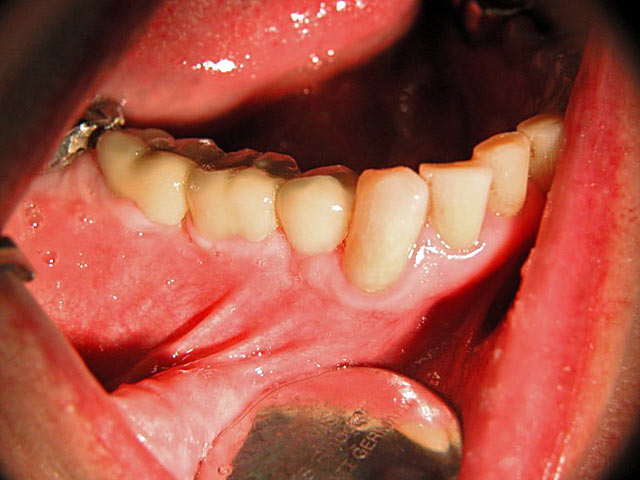
Unsere Patientenfälle
Die folgenden Patientenfälle sollen Ihnen einen Einblick in die Möglichkeiten der modernen Implantation geben.
Frontzahn-Implantation:
Implantation mit fester Brücke:
Implantation mit externem Sinuslift:
Implantation mit Knochenblock-Implantaten:
Sofort-Implantation:
Komplett-Implantation:
Implantation – Patientenbeispiel 1:
Implantation – Patientenbeispiel 2:
Kugelkopf-Implantation:
Kurzimplantate und Sofort – Implantate:











































